Skip Menu
Continue
  • 341 North Colony Road,
  • Wallingford, CT 06492
  • Home
  • About Us
    • Our Office
    • Meet Our Staff
    • Smile Gallery
    • Dental Videos
    • Testimonials
  • Meet Dr. Saleem
    • Azra Saleem, DDS
  • Services
      • Bridges & Dentures
      • Crowns & Caps
      • Extractions
      • Fillings: Resin & Amalgam
      • Implant Dentistry
      • Implant Crowns
      • Implant Dentures
      • Initial Oral Exams
      • Pediatric Dentistry
      • Periodontal Treatment
      • Preventive Program
      • Root Canals
      • Six Month Smiles®
      • Teeth Whitening
      • Veneers
    • View All
  • New Patient Information
  • Dental Health
  • Contact
    • Contact Us
    • Request Appointment

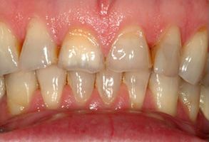
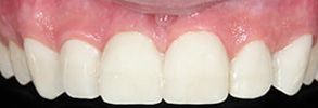
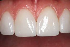
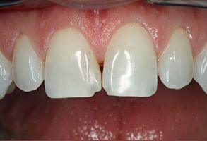
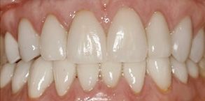
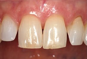
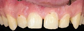
Smile Gallery

Additional Information

Our Location

341 North Colony Road
Wallingford, CT 06492
(860) 756-5475

Follow Us